What Causes Spleen Cancer In Dogs - Spleen Cancer In Dogs Cats Long Beach Animal Hospital - Like many forms of cancer in dogs, we are unsure of the underlying cause of mast cell tumors, but certain breeds seem to be more at risk for developing them.;
Dapatkan link
Facebook
X
Pinterest
Email
Aplikasi Lainnya
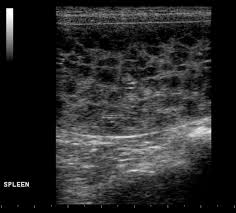
What Causes Spleen Cancer In Dogs - Spleen Cancer In Dogs Cats Long Beach Animal Hospital - Like many forms of cancer in dogs, we are unsure of the underlying cause of mast cell tumors, but certain breeds seem to be more at risk for developing them.;. Many other types of tumors, both benign and malignant, can occur in the spleen. The spleen is an organ that will store blood and will also supply blood to other organs, while cleaning blood cells as well. Often, owners do not realize their dog is affected until the sudden hemorrhage or collapse. This cancer is typically diagnosed via fine needle aspiration. If the above describes your dog's situation, then the immediate option is surgery.
Malignant lymphoma is one of the most common types of cancer that affects dogs. While the specific cause (s) for spleen cancer in dogs is unknown, we know that there must be some genetic factors, as certain breeds seem to be affected more than others. Hemangiosarcomas are fed by the blood vessels and fill with blood. Any large breed dog appears to be at an increased risk especially german shepherds, golden retrievers, labradors, and poodles. This cancer metastasizes at a rapid rate and affected dogs have limited survival time.
Cancer Tumors Of The Spleen Bluepearl Pet Hospital from bluepearlvet.com Mast cell tumor dogs often will have a lump on the skin that can look or feel like almost anything.; In some cases, one cause for the enlargement and inflammation of the spleen is a condition known as eosinophilic gastroenteritis. It's rare for a dog owner to even know the tumor is there until it ruptures. It is a cancer made up of the cells that line blood vessels, and therefore can be found in any part of the body. Dog mast cell tumors are one of the most common forms of dog skin cancer. Your options for splenic hemagiosarcoma. Causes of spleen tumor in dogs even though the first reports of canine hsa go back as far as 1960s, the exact cause of the spleen tumor in dogs is still unknown (12, 13, 14). Cancer can also cause dogs to lose weight while maintaining their regular appetite.
It's rare for a dog owner to even know the tumor is there until it ruptures.
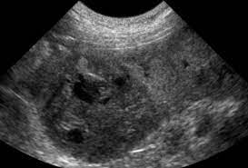
This cancer metastasizes at a rapid rate and affected dogs have limited survival time. Many other types of tumors, both benign and malignant, can occur in the spleen. Because of this, the tumor can rupture, leading to sudden and severe hemorrhage, collapse, and rapid death. It is the tumor of cells that line blood vessels, but most commonly affects heart, spleen, liver or skin. The spleen is an organ that will store blood and will also supply blood to other organs, while cleaning blood cells as well. Spleen and liver hemangiosarcoma in dogs. In some cases, one cause for the enlargement and inflammation of the spleen is a condition known as eosinophilic gastroenteritis. Hemangiosarcomas are fed by the blood vessels and fill with blood. Dogs with hemangiosarcoma in the spleen may not show any symptoms at the early stage. These causes include splenic torsion due to torsion causing the blood flow to be cut off, acute canine infectious hepatitis, salmonellosis and some types of spleen cancer (splenic lymphoma, splenic hemangiosarcoma). In this condition, cells and other substances from other parts of the body start to infiltrate into the spleen and cause an enlargement. This cancer is typically diagnosed via fine needle aspiration. If you notice your dog shedding pounds, either rapidly or slowly, make an appointment with your vet.
Hemangiosarcoma of the spleen is the most common cancer of the spleen in dogs. There are only limited treatment options. If you notice your dog shedding pounds, either rapidly or slowly, make an appointment with your vet. Lymphoma may also cause changes to the eyes and internal organs. It's rare for a dog owner to even know the tumor is there until it ruptures.
Https Encrypted Tbn0 Gstatic Com Images Q Tbn And9gctpw20aphku0gx0zqpgwvoc63jjsswrygculgbl Vkqndualo Usqp Cau from Lymphoma is a type of cancer that affects the lymphatic system. Cancer can also cause dogs to lose weight while maintaining their regular appetite. If you notice your dog shedding pounds, either rapidly or slowly, make an appointment with your vet. Mast cell tumors most commonly form nodules or masses in the skin, they can also affect other areas of the body, including the spleen, liver, intestine, and bone marrow. Spleen cancer occurs rarely in dogs and the causes of this disease are not entirely known. There are two main types of canine spleen cancer, hemangiomas and hemangiosarcomas. In dogs, the common primary sites for hemangiosarcoma are the spleen, the right atrium of the heart, and the subcutis, which is the tissue beneath the skin. This form of cancer is most common in the german shepherd, golden retriever and other large breeds.
This cancer is typically diagnosed via fine needle aspiration.
This is a benign form of dog spleen cancer. The reason for this waxing and waning condition is due to the bleeding of the tumor. Malignant lymphoma is one of the most common types of cancer that affects dogs. Sometimes, dog owners don't realize their pets have the cancer until they suddenly pass away without warning. Treatment in dogs with either a splenic tumour or ruptured spleen is usually surgical removal of the whole organ. Dog mast cell tumors are one of the most common forms of dog skin cancer. Hemangiosarcomas are fed by the blood vessels and fill with blood. This is one of the most dangerous tumors in dogs. Hemangiosarcoma is an incurable malignant cancer forming a tumor or tumors in the cells that form the inner lining of blood vessels and can occur in the liver or spleen. This cancer metastasizes at a rapid rate and affected dogs have limited survival time. It is a cancer made up of the cells that line blood vessels, and therefore can be found in any part of the body. Like many forms of cancer in dogs, we are unsure of the underlying cause of mast cell tumors, but certain breeds seem to be more at risk for developing them.; When a tumor grows on a dog's spleen, it is always one of two forms.
Spleen and liver hemangiosarcoma in dogs. The cellular lining of the blood vessels play an important role in the development of splenic masses. Lymphoma can affect any breed of dog, but. Symptoms of spleen and liver hemangiosarcoma in dogs This cancer metastasizes at a rapid rate and affected dogs have limited survival time.
Liver Cancer In Dogs Signs Symtoms Causes Huntersville Vet Carolina Veterinary Specialists from d2zp5xs5cp8zlg.cloudfront.net Causes of spleen tumor in dogs even though the first reports of canine hsa go back as far as 1960s, the exact cause of the spleen tumor in dogs is still unknown (12, 13, 14). It is a cancer made up of the cells that line blood vessels, and therefore can be found in any part of the body. In dogs, red blood cells are the actual source of spleen cancer. Abdominal cancer can be a silent killer because dogs don't usually show any signs of illness by the time it might be too late. This cancer is typically diagnosed via fine needle aspiration. Many dogs will experience enlargement of the lymph nodes in one or more parts of the body. A mast cell tumor (mct) is a type of tumor consisting of mast cells. It is the tumor of cells that line blood vessels, but most commonly affects heart, spleen, liver or skin.
Mcts are particularly common in boxers, bull terriers, boston terriers, and labrador retrievers.
It is the tumor of cells that line blood vessels, but most commonly affects heart, spleen, liver or skin. Spleen and liver hemangiosarcoma in dogs. This is one of the most dangerous tumors in dogs. Many dogs will experience enlargement of the lymph nodes in one or more parts of the body. It is a cancer made up of the cells that line blood vessels, and therefore can be found in any part of the body. Often, owners do not realize their dog is affected until the sudden hemorrhage or collapse. If the above describes your dog's situation, then the immediate option is surgery. Sometimes this cancer may cause weakness, especially in the hind legs, and decreased energy that lasts for a day or two, then goes away only to reappear weeks or months later. In both cases, the mass forms out of the soft tissue creating what looks a lot like a blood blister. Cancer can also cause dogs to lose weight while maintaining their regular appetite. This cancer metastasizes at a rapid rate and affected dogs have limited survival time. In dogs, red blood cells are the actual source of spleen cancer. Hemangiosarcomas are fed by the blood vessels and fill with blood.
What Sign For Prostate Cancer : Facebook : Urinary tract infection in men. . Symptoms of prostate cancer can include urinary frequency, urgency, and the need to urinate at night, as well as less common signs such as back pain. Prostate cancer is the most common cancer among men. Prostate cancer impacts a lot of individuals— and knowing the signs and symptoms early on can make all of the difference. Prostate cancer risk stratification is based on groups defined by d'amico et al in 1998. Most men with early prostate cancer don't have any signs or symptoms. Prostate cancer is more common in african american men than in any other race. A health guide for men. harvard health publishing: Prostate cancer is reported as the second most common cancer in men. The goal of screening for prostate cancer is to find cancers that may be at high risk for spreading if not treated, and to find them early before they spread. Some men with prostate cancer experience symptoms, su...
Zemmour réveille les français et sert de lanceur d'alerte. 02.12.2021 · le meeting d'éric zemmour déplacé pour ne pas mettre en « danger » le public. L'équipe de campagne du candidat justifie ce changement de salle pour ne pas mettre en « … Philippe de villiers n'ira pas au zénith info le point. Consultez l'ensemble des articles, reportages, directs, photos et vidéos de la rubrique eric zemmour publiés le samedi 4 décembre 2021. Hot guy Adrian_Aldain in Pittsburgh, Pennsylvania, USA from friendboy.pro L'ancien ministre souverainiste ne soutiendra pas son ami éric … 29.11.2021 · le polémiste éric zemmour devrait déclarer sa candidature à l'élection présidentielle cette semaine, avant un grand meeting au zénith de … 02.12.2021 · le meeting d'éric zemmour déplacé pour ne pas mettre en « danger » le public. Tout...
How Does The Full Moon Affect Cancerians : With or without you: The role of the moon on life : The full moon is trying to shake up your practical and serious way of doing things, and is asking you to embrace your lighter side (it does exist). . But, unlike a normal full moon that reflects the sun's illumination, during a lunar eclipse the moon emanates the earth. Even the word lunatic stems from the latin word luna, meaning moon, and there's plenty of evidence to support that erratic behavior does occur in some people around the time of a full moon. On december 29, 2020, the full cold moon in cancer is happening. The other water signs also feel a deep connection to the moon though to a lesser degree. This has led to the development of circadian rhythms that affect many of your body's. During the full moon in cancer period, the moon is the lord of the first house (house of ascendant, personality or character) and is placed in the same house for the cance...
Komentar
Posting Komentar